×

Shoulder Replacement

Home / Shoulder Replacement

Shoulder Replacement

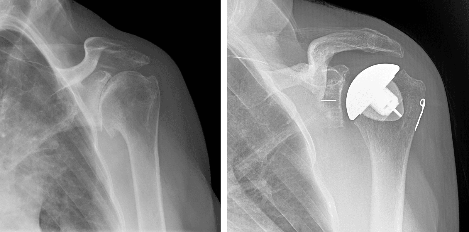
Shoulder replacement is a surgical procedure designed to relieve pain and restore function in severely damaged shoulder joints, typically due to arthritis, fractures, or degenerative joint diseases. During the procedure, the damaged parts of the shoulder, including the humeral head (ball) and sometimes the glenoid (socket), are replaced with artificial components made of metal and plastic. This surgery is often recommended when non-surgical treatments like medication and physical therapy fail to provide relief. Shoulder replacement can significantly improve mobility, reduce chronic pain, and enhance the overall quality of life, especially for patients with limited shoulder movement and persistent discomfort.

Facture Care

Make An Appointment

With Dr. Adam Ali Consultant Orthopedic

Appointment Now